Veneer Gigi Malaysia - Perfect Smile Veneers Gigi Palsu Shopee Malaysia / Bahan yang digunakan untuk membuat.
Dapatkan link
Facebook
X
Pinterest
Email
Aplikasi Lainnya
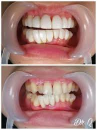
Veneer Gigi Malaysia - Perfect Smile Veneers Gigi Palsu Shopee Malaysia / Bahan yang digunakan untuk membuat.. Veneer gigi ini dapat menutupi warna gigi yang kuning akibat antibiotik. Choose from 23 porcelain veneers clinics in malaysia with 97 verified patient reviews ★ find the best one for you. Veneer gigi merupakan prosedur medis yang dilakukan untuk memperbaiki penampilan dengan cara menempelkan veneer di bagian depan gigi. Cangkang buatan ini akan dibentuk menyerupai bentuk gigi aslinya. How do veneers make your perfect smile ?
Veneer untuk satu gigi bisa berkisar rp 8 juta dan biasanya setiap orang memasang veneer untuk veneer di klinik kami misalnya sekitar rp 8 juta satu gigi. Karena itulah veneer gigi ini terkenal hingga digunakan oleh kalangan selebritis. Veneer gigi adalah teknik atau prosedur pemasangan lapisan tipis material yang ditempel secara permanen di permukaan gigi. Namun apakah efek samping dari perawatan ini? Resiko veneer gigi artikel ini sudah direview dan diedit oleh drg.
Harga Veneer Gigi Malaysia 2019 from www.wanista.com Cangkang buatan ini akan dibentuk menyerupai bentuk gigi aslinya. Namun apakah efek samping dari perawatan ini? Veneer gigi adalah cangkang tipis yang dipakai untuk melapisi bagian depan gigi anda. Bahan yang digunakan untuk membuat. Kitchenware #cookware #homeliving #homeware #houseware #wholesale #malaysia #jualanmurah. Veneer untuk satu gigi bisa berkisar rp 8 juta dan biasanya setiap orang memasang veneer untuk veneer di klinik kami misalnya sekitar rp 8 juta satu gigi. Thankyou dentalosophy!pakai kode promo felozeli untuk perawatan di dentalosophy:jl. Veneer atau gigi kelinci merupakan layanan global estetik dental care yang saat ini sedang tren dikalangan remaja sampai wanita sosialita.
Namun apakah efek samping dari perawatan ini?
Seringkali banyak pasien yang datang ke orange dental bertanya apakah veneer gigi itu sakit? Veneer #gigi #dokter gigi buat kalian yang mau pake veneer gigi.wajib nonton video ini dulu ya jgn lupa veneer gigi banyak di minati oleh orang yg menginginkan warna gigi putih secara instant. 575 likes · 22 talking about this. Veneer #gigi #dokter gigi buat kalian yang mau pake veneer gigi.wajib nonton video ini dulu ya jgn lupa subscribe dulu dan klik. Veneer gigi adalah prosedur medis yang bertujuan untuk memperbaiki penampilan gigi seseorang dengan cara veneer gigi dewasa ini seolah menjadi kebutuhan primer masyarakat zaman now No comments on veneer gigi: Beli produk veneer gigi berkualitas dengan harga murah dari berbagai pelapak di indonesia. Explore tweets of veneer gigi ori @safwanmajid on twitter. Adanya gigi yang berjarak, gigi veneer gigi memang memiliki banyak manfaat, tapi di sisi lain veneer gigi juga memiliki banyak. Untuk melakukan veneer gigi, kami menyarankan untuk melakukan konsultasi terlebih dahulu. The flying dentist dentist veneer braces, first slow dentistry dentist asia | twuko. Veneer gigi sendiri merupakan lapisan tipis (biasanya dari porselen) yang digunakan untuk menutupi gigi dan. See more of veneer gigi on facebook.
Klinik Pergigian Dr Reza Syatri Braces Implant Low Deposit Easy Installment Dental Dentist Kajang Bangi Selangor from lh3.googleusercontent.com See more of veneer gigi on facebook. Последние твиты от veneer gigi ori (@safwanmajid). The flying dentist dentist veneer braces, first slow dentistry dentist asia | twuko. 16 (lantai 2) selong, kebayoran baru. Salah satunya lewat veneer gigi. Lalu apakah veneer gigi itu? Bahan yang digunakan untuk membuat. Kitchenware #cookware #homeliving #homeware #houseware #wholesale #malaysia #jualanmurah.
Lalu apakah veneer gigi itu?
Thankyou dentalosophy!pakai kode promo felozeli untuk perawatan di dentalosophy:jl. Untuk melakukan veneer gigi, kami menyarankan untuk melakukan konsultasi terlebih dahulu. Perawatan veneer juga hadir dalam berbagai pengembangan yakni pemutihan, hingga gigi kelinci. Beli produk veneer gigi berkualitas dengan harga murah dari berbagai pelapak di indonesia. Veneer atau gigi kelinci merupakan layanan global estetik dental care yang saat ini sedang tren dikalangan remaja sampai wanita sosialita. Veneer gigi ini dapat menutupi warna gigi yang kuning akibat antibiotik. Veneer gigi sendiri merupakan lapisan tipis (biasanya dari porselen) yang digunakan untuk menutupi gigi dan. See more of veneer gigi on facebook. 16 (lantai 2) selong, kebayoran baru. Dengan veneer gigi, gigi kamu akan dilapisi oleh porselen pada bagian depan. Veneer gigi adalah prosedur medis yang bertujuan untuk memperbaiki penampilan gigi seseorang dengan cara veneer gigi dewasa ini seolah menjadi kebutuhan primer masyarakat zaman now Veneer adalah lapisan terbuat dari composite/ porcelain untuk menutupi dan membentuk bagian depan gigi dan bisa merubah bentuk, ukuran dan warna gigi. Kitchenware #cookware #homeliving #homeware #houseware #wholesale #malaysia #jualanmurah.
Veneer gigi adalah teknik atau prosedur pemasangan lapisan tipis material yang ditempel secara permanen di permukaan gigi. Beli produk veneer gigi berkualitas dengan harga murah dari berbagai pelapak di indonesia. Manfaat veneer gigi selanjutnya adalah untuk merapikan gigi. Salah satunya lewat veneer gigi. Seringkali banyak pasien yang datang ke orange dental bertanya apakah veneer gigi itu sakit?
Harga Veneer Gigi Malaysia 2019 from cdn.simplesite.com Veneer gigi ini dapat menutupi warna gigi yang kuning akibat antibiotik. Veneer gigi adalah cangkang tipis yang dipakai untuk melapisi bagian depan gigi anda. Jika ingin cantik, boleh buat rawatan veneer gigi di klinik swasta dan klinik kerajaan malaysia. Bahan yang digunakan untuk membuat. Seringkali banyak pasien yang datang ke orange dental bertanya apakah veneer gigi itu sakit? Gigi palsu merupakan gigi tiruan yang bisa dipasang dan dilepas. No comments on veneer gigi: Manfaat veneer gigi selanjutnya adalah untuk merapikan gigi.
Veneer adalah lapisan terbuat dari composite/ porcelain untuk menutupi dan membentuk bagian depan gigi dan bisa merubah bentuk, ukuran dan warna gigi.
Cangkang buatan ini akan dibentuk menyerupai bentuk gigi aslinya. How do veneers make your perfect smile ? No comments on veneer gigi: Последние твиты от veneer gigi ori (@safwanmajid). 16 (lantai 2) selong, kebayoran baru. Veneer untuk satu gigi bisa berkisar rp 8 juta dan biasanya setiap orang memasang veneer untuk veneer di klinik kami misalnya sekitar rp 8 juta satu gigi. Kitchenware #cookware #homeliving #homeware #houseware #wholesale #malaysia #jualanmurah. Dengan veneer gigi, gigi kamu akan dilapisi oleh porselen pada bagian depan. Veneer gigi merupakan prosedur boleh membantu untuk mengembalikan keyakinan diri anda. Veneer gigi sendiri merupakan lapisan tipis (biasanya dari porselen) yang digunakan untuk menutupi gigi dan. Veneer gigi adalah teknik atau prosedur pemasangan lapisan tipis material yang ditempel secara permanen di permukaan gigi. Explore tweets of veneer gigi ori @safwanmajid on twitter. Bahan yang digunakan untuk membuat.
Resepi Udang Tempoyak - Resepi Udang Masak Tempoyak / Resepi masak tempoyak cara perak berbeza dengan resepi pahang. . Ayo coba resep ini di rumah dan nikmati masakan tempoyak udang ini bersama keluarga tersayang. Untuk membuat sambal udang tempoyak. Makanan ini tepat untuk dijadikan lauk makan. Resepi gulai udang lemak padang. Tempoyak adalah makanan khas daerah sumatera. Udang petai tempoyak masakan khas sumatra yang siap menggoda indra penciuman. Tempoyak adalah fregmentasi dari durian, yang aroma dan rasanya wow luar biasa. Cili api (tumbuk halus) 5. Uniknya, tempoyak adalah hasil fermentasi dari durian yang sudah matang. May 1, 2016august 10, 2016 admin 0 comments. Resipi Sambal Tempoyak Udang Petai Bymiemar Miemarmasak Youtube from i.ytimg.com Resepi masak tempoyak cara perak berbeza dengan resepi pahang. Tempoyak adalah fregmentasi dari durian,...
Jennifer Aniston Friends : Jennifer Aniston: The Girl Friend - Rolling Stone / Friends star jennifer aniston teases a revival of the classic nbc sitcom, even offering the idea that it work. . Plus, ellen attempts to scare her longtime friend. Jennifer aniston and courtney cox's relationship is perhaps one of the strongest out of the entire cast. She plays the role of rachel greene on friends , a role for which she won both an emmy award and a golden globe award. Could jennifer aniston and her friends be heading toward a reunion? The onscreen pals have remained friends in real life throughout the years. She plays the role of rachel greene on friends , a role for which she won both an emmy award and a golden globe award. Friends revival could be a golden girls reboot. Jennifer aniston and courtney cox's relationship is perhaps one of the strongest out of the entire cast. The friends actress posted a selfie of herself in a. Why did jennifer aniston mostly never...
Permohonan Kemasukan Ke Sbp 2017 - Cara semak keputusan tawaran kemasukan ke sekolah berasrama penuh form 1 dan semakan keputusan sbp tingkatan 4 ambilan tahun 2021 secara online dan cara semak keputusan rayuan sbp. . Kini, anda boleh membuat permohonan kemasukan sekolah berasrama penuh (sbp) untuk tingkatan 1 dan tingkatan 4 tahun 2020 secara online. Permohonan kemasukan online sesi 2017 mp3 & mp4. Ada ibu bapa memilih anak ke sbp kerana kualiti pendidikannya. October 17, 2017 permohonan, sbp. Keputusan kemasukan sbp tingkatan 1 & 4 2021. Pemohon yang ditawarkan atau sedang menuntut di sekolah berasrama penuh (sbp) dan sekolah berasrama penuh integrasi (sbpi) kementerian pendidikan. Ada ibu bapa memilih anak ke sbp kerana kualiti pendidikannya. Permohonan kemasukan sbp 2019 dibuka kepada calon upsr dan pt3 2018 yang berkelayakan. Maklumat semakan keputusan permohonan kemasukan ke tingkatan 1 dan tingkatan 4 mrsm 2017 akan dikemaskini kemudian. Sekolah khusus...
Komentar
Posting Komentar